Причины диффузного токсического зоба

В настоящее время диффузный токсический зоб (ДТЗ) рассматривается как органоспецифическое аутоиммунное заболевание. Его наследственный характер подтверждается тем, что наблюдаются семейные случаи зоба, выявляются тиреоидные антитела в крови родственников больных, отмечаются высокая частота других аутоиммунных заболеваний среди членов семьи (сахарный диабет I типа, болезнь Аддисона, пернициозная анемия, myastenia gravis) и наличие специфических HLA-антигенов (HLA B8, DR3). Развитие заболевания нередко провоцирует и эмоциональное напряжение.
Патогенез диффузного токсического зоба (базедовой болезни) обусловлен наследственным дефектом, по-видимому, дефицитом супрессоров Т-лимфоцитов, что ведет к мутации запрещенных клонов хелперов Т-лимфоцитов. Иммунокомпетентные Т-лимфоциты, реагируя с аутоантигенами щитовидной железы, стимулируют образование аутоантител. Особенность иммунных процессов при диффузном токсическом зобе состоит в том, что аутоантитела оказывают стимулирующее действие на клетки, ведут к гиперфункции и гипертрофии железы, тогда как при других аутоиммунных заболеваниях аутоантитела оказывают блокирующее действие, либо связывают антиген.
Сенсибилизированные В-лимфоциты под действием соответствующих антигенов образуют специфические иммуноглобулины, стимулирующие щитовидную железу и имитирующие действие ТТГ. Они объединены под общим названием TSI. Предполагаемой причиной секреции иммуноглобулинов является дефицит или снижение функциональной активности Т-супрессоров. TSI не являются строго специфичным признаком диффузного токсического зоба. Эти антитела обнаружены у больных подострым тиреоидитом, тиреоидитом Хашимото.
Наряду с TSI-антителами к рецептору цитоплазматических мембран тиреоцитов (возможно, рецептору ТТГ) у больных диффузным токсическим зобом часто обнаруживают антитела к другим тиреоидным антигенам (к тиреоглобулину, второму коллоидному компоненту, микросомальной фракции, нуклеарному компоненту). Более высокая частота выявления антител к микросомальной фракции наблюдается у больных, получавших препараты йода. Учитывая тот факт, что именно они оказывают повреждающее действие на фолликулярный эпителий щитовидной железы, можно объяснить развитие синдрома Jod-Basedow (йодбазедов) при длительном применении йодистых препаратов у больных диффузным токсическим зобом или эндемическим зобом. Повреждение фолликулярного эпителия ведет к массивному поступлению в кровеносное русло тиреоидных гормонов и выявлению клинической картины тиреотоксикоза или его обострения после предшествующей ремиссии на фоне приема йодистых препаратов. Йодный базедовизм по клинической картине не отличается от настоящей базедовой болезни. Отличительным признаком гипертиреоза, обусловленного приемом йода, является отсутствие или низкое поглощение изотопов йода щитовидной железой.
Ранее считали, что гипертиреоз развивается при повышении продукции тиреотропного гормона. Оказалось, что уровень ТТГ при этом заболевании не изменен или чаще снижен вследствие подавления функции гипофиза высокими концентрациями тиреоидных гормонов. В редких случаях встречаются больные с ТТГ-продуцирующей аденомой гипофиза, при этом содержание ТТГ в плазме значительно повышено, не отмечается реакции ТТГ на ТРГ. При некоторых формах заболевания одновременно обнаруживается повышенное содержание в крови ТТГ и тиреоидных гормонов. Полагают, что имеется частичная резистентность тиреотрофов к тиреоидным гормонам, в результате чего развивается симптоматика тиреотоксикоза.
Патанатомия
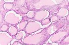
Диффузный токсический зоб классифицируется как первичная тиреоидная гиперплазия и гипертрофия. Поверхность железы гладкая, на разрезе ее вещество плотное, однородного строения, серовато-розового цвета, иногда блестящее или коллоидного вида. Могут встречаться мелкоточечные белесоватые включения (лимфоидные инфильтраты), очаги или прослойки фиброзной ткани. Гистологически мы различаем три основных варианта диффузного токсического зоба (базедовой болезни):
- гиперпластические изменения в сочетании с лимфоидной инфильтрацией;
- без лимфоидной инфильтрации;
- коллоидный пролиферирующий зоб с морфологическими признаками повышения функции тиреоидного эпителия.
Первый вариант - классический. Для него характерна усиленная пролиферация тиреоидного эпителия с образованием сосочковых выростов в фолликуле, что придает им звездчатый вид. Фолликулярный эпителий обычно низкий, цилиндрический или кубический. Лимфоидная инфильтрация стромы выражена в различной степени, носит очаговый характер. При ее слабой выраженности очажки лимфоидных клеток локализуются преимущественно под капсулой. Существует прямая связь между степенью проявления лимфоидной инфильтрации и титром антитиреоидных антител, а также выраженностью онкоцитарно-клеточной реакции. В таких железах иногда отмечается развитие фокального аутоиммунного тиреоидита. В ряде случаев наблюдается исход диффузного токсического зоба (базедовой болезни) в аутоиммунный тиреоидит.
Второй вариант болезни встречается преимущественно у лиц молодого возраста. Гиперплазия тиреоидного эпителия выражена особенно сильно. Пролиферация тиреоидного эпителия сопровождается новообразованием мелких фолликулов, выстланных цилиндрическим и реже кубическим эпителием. Основная масса таких фолликулов содержит небольшие количества жидкого интенсивно резорбирующегося коллоида или лишена его. Располагаются фолликулы вплотную друг к другу. Это так называемый паренхиматозный тип строения железы.
Коллоидный пролиферирующий зоб в отличие от эндемического коллоидного зоба характеризуется усиленной пролиферацией фолликулярного эпителия с образованием либо многочисленных сосочковых выростов, либо сандерсоновских подушечек. Фолликулярный эпителий большей частью кубический, с морфологическими признаками повышения его функциональной активности. Коллоид в основной массе фолликулов жидкий, интенсивно резорбирующийся.
При рецидиве диффузного токсического зоба (базедовой болезни) структура щитовидной железы часто повторяет строение впервые удаленной тиреоидной ткани, но в ней нередко наблюдаются субкапсулярный и интерстициальный фиброз, тенденция к узлообразованию.
В последние годы наблюдается увеличение частоты первичных раков щитовидной железы на фоне диффузного токсического зоба (базедовой болезни). Обычно это микрораки, преимущественно высокодифференцированные: папиллярные, типа аденокарциномы Грэхема, фолликулярные, или смешанные, удаление которых, как правило, завершается выздоровлением. Мы не наблюдали ни рецидивов, ни метастазов в этих случаях.
У лиц с диффузным токсическим зобом (базедовой болезнью), умерших от сердечной недостаточности, умеренно увеличено сердце с дилатацией предсердий и легкой гипертрофией и дилатацией обоих желудочков. В миокарде левого желудочка обнаруживаются очаги некроза и фиброза. Часто отмечается увеличение тимуса, шейных лимфатических узлов и даже миндалин. В печени развивается жировая дистрофия. В костях иногда усиленная активность остеокластов с явлениями резорбции костной ткани. Для тиреотоксической миопатии характерна атрофия скелетных мышц с явлениями жировой инфильтрации.
Медицинский эксперт-редактор
Портнов Алексей Александрович
Образование: Киевский Национальный Медицинский Университет им. А.А. Богомольца, специальность - "Лечебное дело"



