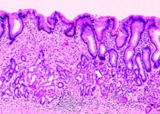
Аденокарцинома желудка

Аденокарцинома желудка - это злокачественное новообразование в железистом эпителии желудка.
Встречается оно довольно часто и занимает четвертое место среди всех опухолевых образований. Локализируется опухоль в основном в антральном и пилорическом отделах. Вызвано это явление чрезмерным употреблением продуктов питания с повышенным содержанием нитритов. Именно в желудке эти вещества разрушают слизистый слой, и тем самым вызывают злокачественное образование.
Код по МКБ-10
Причины аденокарциномы желудка
Основные причины аденокарциномы желудка связаны с нарушениями в организме. Железистый рак это довольно распространенное заболевание. В основе его лежит неправильное питание, а также влияние на организм человека различных вредоносных факторов. Как правило, терапия назначается исходя из локализации заболевания и его стадии. Но в большинстве случае используется непосредственно радикальное вмешательство.
Итак, причинами развития заболевания могут стать: хроническая язва, нарушение эпителия слизистой, болезнь Менетрие, атрофический гастрит, радиация, ожирение и наличие схожего заболевания у кого-то из родственников.
Если таких заболеваний нет и предпосылок к ним тоже, то стоит просто следить за ежедневным рационом. Потому как железистый рак может развиться из-за неправильного питания. Следует исключить и пагубные привычки. Ведь курение также может спровоцировать развитие заболевания.
Симптомы аденокарциномы желудка
Основные симптомы аденокарциномы желудка распознать не так просто. Дело в том, что заболевание имеет весьма стертые клинические проявления. Это может быть тяжесть в эпигастрии, тошнота, отсутствие аппетита, расстройство стула и общее снижение веса. Поэтому сказать однозначно, что у человека железистый рак сложно.
Данные симптомы в совокупности называются синдромом «малых признаков». Потому как они характерны для многих других процессов. Тяжесть и распирание часто возникает и при внутристеночной опухоли. При этом пораженный орган остается напряженным и эластичным.
Так, рак кардиального отдела также характеризуется нарушением прохождения пищи в двенадцатиперстную кишку. В результате чего возникает рвота, а в более запущенных случаях еще и боли в эпигастральной части.
Железистый рак метастазирует практически в 90% случаев. Что касается метода диагностики, то он сводится к официально утвержденному перечню способов лечения. Так что при проявлении каких-либо из вышеописанных симптомов, необходимо обращаться за помощью.
Низкодифференцированная аденокарцинома желудка
Представляет собой достаточно злокачественное образование. Причем развивается оно из железистого эпителия различных органов. Если степень дифференцировки низкая, то это обуславливает быстрый и агрессивный рост новообразований.
Прогноз при этом заболевании является довольно серьезным. Потому как необходимо своевременное обращение за высококвалифицированной помощью. Чем менее дифференцированы клетки железистого рака, тем более неблагоприятным является прогноз. При проявлении каких-либо признаков, стоит сразу же обращаться в медицинское учреждение.
Такое явление зачастую считается показателем для удаления лимфатических узлов. Происходит процесс благодаря методам лучевой терапии. Во многих случаях назначается и химиотерапевтические препараты. Витамины, обезболивающие средства и полноценное питание также входят в общий курс лечения.
Умеренно дифференцированная аденокарцинома желудка
Этот вид рака занимет промежуточное положение. Она представляет собой опухоль, структуру которой сложно ассоциировать со структурой ткани, клетками которой она образована. Поэтому выявить заболевание не так просто. Характерных признаков нет, исходить придется из общих.
Несмотря на то, что опухоль не настолько опасна, ее нужно своевременно удалить. Потому как многое зависит именно от этого процесса. Выявить данное заболевание самостоятельно практически невозможно. Оно не имеет никаких определенных симптомов. Все они похожи на общие проблемы с органами ЖКТ. В этом случае нужен только лишь осмотр специалиста.
Данное заболевание находится между хорошодифференцированными и малодифференцированными видами. Но, несмотря на это, оно все, же несет в себе опасность, ведь это злокачественное новообразование.
Высокодифференцированная аденокарцинома желудка
Все раковые заболевания, в особенности высокодифференцированная аденокарцинома желудка подвергаются тщательному исследованию. Данный факт объясняется тем, что есть необходимость установить истинные причины, которые приводят к развитию заболевания.
На сегодняшний же день в отношении каждой разновидности высокодифференцированной аденокарциномы были определены факторы риска, которые и способствуют развитию данного заболевания.
Высокодифференцированный железистый рак развивается в основном у пожилых людей. Этому заболеванию предшествует ряд причин. Так, в первую очередь это плохая наследственность. Большую роль играет и питание, потому как во многих случаях оно нерациональное. Это говорит о том, что организм не получает необходимого количества полезных веществ. Высокодифференцированный железистый рак возникает и в прямой кишке, в основном из-за занятий анальным сексом, а также при заражении папилломовирусной инфекции.
В некоторых случаях заболевание провоцируется химическими веществами, в том числе и медицинскими препаратами. Группу риска составляют люди, страдающие сахарным диабетом. Естественно, особый вклад делают и заболевания связанные с иными органами.
Тубулярная аденокарцинома желудка
Еще одной разновидностью злокачественной опухоли является тубулярная аденокарцинома желудка. Что же она собой представляет? В первую очередь она представляет разветвленные тубулярные структуры, которые заключены в фиброзную строму или же окружены ею.
Формы опухоли весьма интересные, как правило, это клетки цилиндрические или кубические. Но в некоторых случаях они способны упрощаться за счет накопления слизи в расширенных просветах.
Эта форма злокачественного новообразования также требует немедленного вмешательства медицинского работника. Потому как разновидность рака весьма своеобразная.
Тубулярный железистый рак представлен простыми или разветвленными структурами. Для нее менее характерными являются мелкоацинарные структуры типа антральных желез. Если говорить об уровне внутри- и внеклеточного слизеобразования, то он варьируется. Степень развития раковой стромы может быть различной.
Где болит?
Что беспокоит?
Диагностика аденокарциномы желудка
Выявлением недуга занимается терапевт, гастроэнтеролог и онколог, ими же проводится и диагностика аденокарциномы желудка. Лечение, как правило, производится онкологом. Чтобы провести качественное диагностирование, необходимо соблюдать целый комплекс мероприятий.
Изначально выполняется фиброэзофагогастродуоденоскопия. Это один из самых точных методов диагностики на сегодняшний день. В пораженный опухолью орган больного через рот вводится зонд. Благодаря такому введению врачу удается взять пробы эпителиальной ткани. Затем образцы исследуются в лаборатории.
Проводятся также и анализы на хеликобактериоз. Они бывают трех видов. Первый вариант подразумевает анализ крови, благодаря которому удается выявить антитела. Следующие виды это респираторный тест и анализ кала, таким образом, можно обнаружить антигены Helicobacter pylori. Если удается идентифицировать инфекцию, то назначается комплексное лечение.
Еще один распространенный вид диагностики, это рентгенодиагностика с контрастом. Если есть четкие снимки пораженной области, то рак легко выявить практически в 75% случаев. Перед этой процедурой пациенту необходимо выпить контрастную массу. Это жидкость серого цвета с довольно неприятным вкусом.
Помимо этого, применяется ряд других способов диагностирования. Так, это УЗИ, эндоскопия, магниторезонансная и компьютерная томография.
Что нужно обследовать?
Какие анализы необходимы?
К кому обратиться?
Лечение аденокарциномы желудка
Наиболее часто, лечение аденокарциномы желудка заключается в проведении оперативного вмешательства. Но стоит учитывать и тот факт, что организм не всегда готов к проведению радикальных мер. Потому как данный метод терапии отбирает у человека много сил, которые итак были растрачены. Исходя из этого, врачи рекомендуют включать в процесс лечения физиотерапевтические препараты.
Процесс удаления железистого рака пищевода заключается в частичном избавлении от пищевода. В некоторых случаях уместным становится и удаление верхней части желудка. Именно из оставшейся частички этого органа и восстанавливается ранее удаленный пищевод. Если стадия рака запущенная, то пищевод нужно удалить полностью. При этом желудок человека практически переходит в шею пациента. Во время этой процедуры используются открытые разрезы живота, груди и шеи.
Новым, но при этом хорошо зарекомендовавшим себя методом лечения является томотерапия. В этом случае применяется спиральный томограф с охватом на 360 градусов. Он позволяет врачу рассмотреть все изменения, которые происходит в процессе терапии. Таким образом, можно продолжить многие терапевтические мероприятия, при этом обезопасив от облучения здоровые ткани. Эта система позволяет изменить форму, размер и количество радиации, которая доставляется опухолью.
Лечение низкодифференцированной аденокарциномы желудка
Комплексное лечение низкодифференцированной аденокарциномы желудка, является самым эффективным. Так, на опухоль необходимо воздействовать различными методами.
- Хирургическая операция - самый распространенный метод борьбы с опухолью. Оперативное вмешательство направлено на полное удаление новообразования. Причем не только в переделах здоровой ткани, но и с дополнительным иссечением пораженных лимфатических узлов. На сегодняшний день большое распространение получило малоинвазивное оперативное вмешательство. Происходит оно из торакоскопического и лапарокскопичесрго, с применением самых последних технологий. Щадящие операции позволяют обеспечить не только радикальное удаление опухоли, но и сохранить здоровье пациента.
- Лучевая терапия. Зону поражения облучают для того, чтобы уменьшить опухоль и провести дальнейшее ее удаление. Используется метод и в послеоперационном периоде, он позволяет уничтожить в ране злокачественные клетки. Тем самым в разы снижается риск повторного возникновения опухоли. На сегодняшний день используются только лишь самые последние методики лучевой терапии. Они вызывают минимальное повреждение здоровых тканей организма.
- Химиотерапия. Именно этот метод является неотъемлемой частью в борьбе с низкодифференцированным железистым раком. Эта процедура позволяет уничтожить злокачественные клетки во всем организме человека. Используется химиотерапия вместе с цитостатическими препаратами, которые и проводят борьбу с клетками опухоли и метастазам и до и после оперативного лечения.
Есть и другие современные методы терапии железистого рака. Это лазерное излучение, ультразвуковые волны, нанопрепараты и прочие методики.
Лечение умеренно дифференцированной аденокарциномы желудка
Для того чтобы добиться положительного результата, лечение умеренно дифференцированной аденокарциномы желудка должно проходить с использованием всех современных технологий.
Естественно что без хирургической операции обойтись нельзя. Потому как опухоль должна быть в любом случае удалена. Так, хирургическое вмешательство - это самый радикальный метод в борьбе со злокачественным новообразованием. Он представляет собой удаление не только самой опухоли, но и лимфатических узлов, вместе с мягкими тканями. На сегодняшний день предпочтение отдается непосредственно малоинвазивным оперативным вмешательствам. Потому как они позволяют сделать все максимально быстро, да и в основе их лежит использование современных технологий.
Химиотерапия занимает ведущие место в борьбе с раковыми болезнями. Она позволяет избавить от злокачественных клеток во всем организме. Помимо химиотерапии, широко используется и лучевая терапия. Она позволяет значительно уменьшить опухоль, что в разы облегчит ее удаление. На сегодняшний день используются только лишь современные технологии в борьбе с этим недугом. Естественно, большую роль играет и физиотерапия. В целом, это онкологическое заболевание включает несколько вариантов терапии, основным из которых является хирургическое вмешательство.
Лечение аденокарциномы желудка народными средствами
Проводится лечение аденокарциномы желудка народными средствами, правда без хирургического вмешательства все равно обойтись нельзя.
- Итак, первым средством, которое необходимо принимать является Аконит. Это обыкновенная настойка, которую можно приготовить самостоятельно. Нужно взять 100 грамм корня аноконита, промыть его и сложить в литровую банку, после чего залить кипятком. Дать настойке постоять около часа. Затем корни изымаются и нарезаются. Далее их нужно залить 60 градусной водкой или спиртом и дать настояться на протяжении 21 дня. Принимать настойку нужно по 1 капле разбавленной в 200 грамм теплой воды. Желательно употреблять средство за 30 минут до еды. Следует отметить, что количество капель нужно увеличивать, ежедневно прибавляя по одной. Пропить настойку нужно курсом в 10 дней.
- Хорошим средство в борьбе с болезнью является картофельный цвет. Для этого нужно собрать картофельные цветки во время их цветения и высушить в темной месте. После чего они измельчаются и заливаются кипятком. Необходимо взять одну столовую ложку средства и пол литра кипятка. Все это настаивается на протяжении 3-х часов. Принимается настойка по 150-170 грамм трижды в день за 30 минут до еды. Курс лечения составляет 2 недели. Затем нужно сделать неделю перерыва и снова пропить настойку. Все это действие продолжается около шести месяцев.
- Ореховая настойка. Нужно собрать тридцать три ореха, порезать их и перемолоть. После чего положить в 3-х литровую баночку и залить водкой. Затем все это законсервировать на 40 дней. Ежедневно по одну разу в сутки банку нужно встряхивать. По истечению отведенного времени средство процеживается через марлю и отжимается. Желательно разлить настойку в емкости из темного стекла и хранить в темном месте. Принимать по одной чайной ложке настойки трижды в день на протяжении месяца.
- Березовый гриб. При онкологических заболеваниях хорошо помогает березовый гриб. Его зачастую принимают в тех случаях, когда хирургическое вмешательство противопоказано. Натертый гриб нужно наставить на протяжении двух дней в кипятке, после чего его можно употреблять. Так, ежедневно следует выпивать немного настойки за 30 минут до еды, трижды. Хранится средство не более 4- суток и то, в холодильнике.
Дополнительно о лечении
Профилактика аденокарциномы желудка
На самом деле, профилактика аденокарциномы желудка заключается в полном исключении многих причин, по которым она может возникнуть. В большинстве случае речь идет именно о неправильном питании.
Так, чтобы избежать развития рака, нужно снизить употребление соленых, копченых и вяленых продуктов. Нитраты способны вызвать это заболевание, поэтому кушать овощи и фрукты необходимо только лишь в сезон, когда они выращены без добавления вспомогательных веществ. Кроме того, следует отказаться от вредных привычек, включая употребление алкоголя и курение. Ежегодно человек должен проходить обследование. Особенно те лица, которые находятся в группе риска. Это пациенты подверженные влиянию наследственности, с врожденным полипозом кишечника, а также с высокой вероятностью развития желудоно-кишеных заболеваний.
Необходимо понимать, что в возрасте после 45-50 лет, нужно проходить профилактическое обследование абсолютно всем.
Прогноз аденокарциномы желудка
Обычно прогноз аденокарциномы желудка является положительным. Но многое в этом случае зависит от самого пациента. Так, для прогнозирования лечения опухоли применяется специальный термин «пятилетняя выживаемость». Если после терапии, человеку удается прожить 5 лет, то его можно считать абсолютно здоровым. Такой пациент обретает шанс, больше никогда не заразится данным заболеванием.
Общая выживаемость составляет около 20%. Такой низ процент объясняется тем, что заболеваний распознается на слишком поздних стадиях. Но несмотря на это, каждый случай индивидуальный. Поэтому говорить про общую статистику бессмысленно.
На нулевой стадии раковые клетки находятся еще во внутреннем слое. Они еще не успели распространиться вглубь, что облегчает задачу. Если грамотное лечение будет подобрано своевременно, то результат окажется хорошим. Возможно даже полное выздоровление.
На первой стадии опухоль сумела проникнуть во внутренний слой. Но, опять же, вглубь она еще не прошла. Если ее вовремя заметить, что терапия даст хороший результат. Возможно полное выздоровление.
На второй стадии может быть две формы. Первая это когда раковые клетки уже поразили внутренний слой, а также несколько лимфатических узлов. Кроме того, клетки могут и не затронуть лимфатические узлы. Вторая форма говорит о том, что раковые клетки поразили внутренний слой и более семи лимфатических узлов. Процесс выздоровления через 5 лет составляет не более 50%.
Третья стадия. Одна из самых серьезных стадий развития заболевания. В этом случае поражены все стенки органа и лимфатических узлов. Выживаемость составляет от 10 до 40%.
На пятой стадии поражено все, происходит отдаленное метастазирование. Пятилетняя выживаемость составляет всего лишь 5%. Дело в том, что на процесс выздоровления влияет характер опухоли, организм пациента и проведенное лечение.
Прогноз низкодифференцированной аденокарциномы желудка
Зачастую прогноз является положительным. Но только лишь в том случае, если человек обратился за помощью на ранней стадии развития заболевания. Обычно после операции за пациентом наблюдают на протяжении пяти лет. Именно этот период говорит о том, выздоровел человек полностью или нет.
Прогноз у больных раком определяется возможностью проведения радикальной операции. Потому как лишь малый процент людей живет более пяти лет. Если операция была проведена по средствам гастроэнтеростомии или лапаротомии, то пациент проживет около 5 месяцев. При проведении нерадикальной резекции около года.
Отдаленное метастазирование способно значительно сократить продолжительность жизни пациентов. В этом случае не может помочь даже радикальная операция. Наличие резидуальной опухоли позволяет прожить не более 2-х лет. Остальные факторы, которые способны влиять на выживаемость пациента имеют уже второстепенное значение.
Прогноз высокодифференцированной аденокарциномы желудка
Сказать, что прогноз положительный, сложно. Потому как это образное понятие. Только лишь спустя 5 лет после операции, можно сказать, выздоровел ли человек полностью. Ведь многое зависит от стадии заболевания и того, когда оно было обнаружено и начат процесс лечения.
В медицине даже есть такое понятие как «пятилетняя выживаемость». Этот термин действительно актуальный. Потому как только таким образом можно определить, вылечился ли человек полностью. Как правило, общая выживаемость достигает не более 20%. Это обусловлено тем, что рак в основном обнаруживается на последних стадиях.
Прогноз у больных раком определяется только лишь возможностью проведения радикальной операции. Потому как небольшой процент непрооперированных пациентов способен прожить более пяти лет.
После гастроэнтеростомии люди живут около 5 месяцев. Если была проведена нерадикальная резекция, то около 11. Отдаленное метастазирование значительно сокращает длительность жизни. В этом случае, к сожалению, даже радикальная операция не способна помочь. Так, человек проживет не более 2-х лет. Дело в том, что аденокарцинома желудка - серьезное заболевание, бороться с которым не так просто.
Last reviewed: 25.06.2018
